A targeted RNA strategy moves a rare disorder closer to treatment
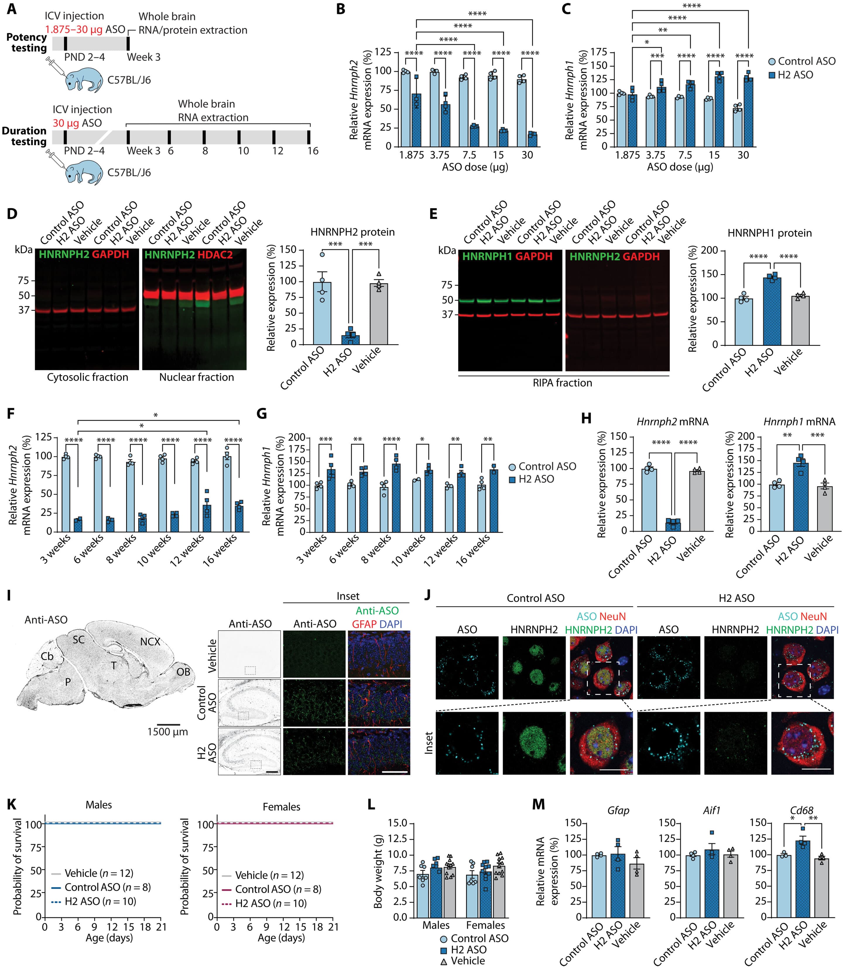
A preclinical study from St. Jude Children's Research Hospital has identified a potential treatment strategy for HNRNPH2-related neurodevelopmental disorder, an ultrarare X-linked condition that can cause developmental delay, seizures, and problems with movement, learning, and memory. In work published in Science Translational Medicine, the research team used antisense oligonucleotides, or ASOs, to block production of an aberrant HNRNPH2 protein and increase expression of the closely related HNRNPH1 protein.
The result, according to the source report, was a reduction in multiple symptoms of the disease in preclinical models. For a disorder with fewer than 200 confirmed cases and no approved cure, that makes the study important less as a finished therapy than as a demonstration that the disease mechanism can be directly manipulated.
The finding matters because ultrarare disorders often stall before they reach the clinic. Small patient populations limit commercial incentives, slow natural-history research, and make it harder to build the evidence needed for development programs. Here, the researchers argue they now have a mechanistic basis for pushing the therapy toward clinical study.
Why this target matters
HNRNPH2-related neurodevelopmental disorder has been difficult to tackle partly because rarity itself becomes a scientific obstacle. But the St. Jude team says a decade of work on the disease converged with the rise of ASO technology at the right time. ASOs are short synthetic nucleic acid strands designed to bind specific messenger RNA targets. In practical terms, they can shut down or reshape the production of a problematic protein before it accumulates.
In this case, the approach aims at the source of the disorder rather than its downstream symptoms. The researchers reported that suppressing the aberrant HNRNPH2 protein also boosted HNRNPH1, a related protein whose increased expression helped reduce disease features in their models. That dual effect is central to the therapeutic logic. The treatment is not simply silencing one molecule; it is shifting the balance inside a protein network tied to the disorder.
The study therefore offers two things at once: evidence that the biology of the disease is tractable, and evidence that ASOs may be a suitable modality for intervention. Those are distinct milestones. Many disease targets can be described in principle, but not all are reachable with a delivery technology that is specific enough to matter.
What the study adds
The source material frames the new work as the next step after years of foundational investigation into the molecular basis of the disorder. That progression is notable. Rare disease programs often move from gene discovery to mechanistic explanation and only then to therapeutic design. The study appears to place HNRNPH2-related disorder at the beginning of that third phase.
What makes the report especially consequential is that it goes beyond a general statement that ASOs could help. The researchers say they demonstrated that the treatment was well tolerated in neonatal mouse models and produced stable, dose-dependent effects on Hnrnph1 and Hnrnph2 expression. Dose response and durability are the kinds of details that begin to matter when a concept has to leave the lab and confront translational questions.
That does not make the therapy ready. Preclinical success is not the same as clinical success, and the source does not claim otherwise. But it does strengthen the case that there is now a rational candidate intervention for a disease area where treatment options are currently nonexistent.
Why ASOs remain a promising platform
The broader significance of the study extends beyond one disorder. ASOs have become one of the more flexible tools for diseases caused by faulty RNA and protein production. Their appeal lies in specificity. Rather than broadly changing cell behavior, they can be designed to alter expression of a defined target.
That feature is particularly useful in neurodevelopmental disorders, where the underlying cause may be known but difficult to address with conventional small-molecule drugs. A therapy that intervenes at the messenger RNA level can, in some cases, be better aligned with the biology of the disease than a drug discovered through symptom management.
For families affected by ultrarare conditions, the value of that shift is substantial. Even when a first-generation therapy is imperfect, the existence of a targetable mechanism can transform the outlook for a field. It gives researchers a framework for biomarker work, dose optimization, safety studies, and eventual trial design.
The road to the clinic is still narrow
The report is careful to anchor its promise in preclinical evidence. That caution matters. Rare neurological disorders present practical hurdles even after a therapy concept looks strong in animal or cellular systems. Developers still need to establish dosing, delivery, timing of intervention, and meaningful clinical endpoints in very small populations.
Those constraints are especially acute in pediatric disease, where developmental timing can influence whether treatment needs to begin before symptoms fully emerge. They are also acute in ultrarare disease because every step, from recruiting patients to measuring benefit, becomes harder when the global patient count is low.
Still, the new study changes the conversation. Instead of asking whether the biology of HNRNPH2-related disorder can be influenced, the field can begin asking how to translate that influence into a human program.
What to watch next
The immediate significance of the study is not that a cure has arrived, but that the path toward one looks more technically grounded than before. If the mechanism continues to hold up, the next stages are likely to involve additional preclinical validation, translational development work, and the planning needed to support clinical studies.
For a condition with confirmed cases numbering below 200, even that progress is meaningful. Rare disease research often advances through narrow openings rather than sweeping breakthroughs. This study appears to be one of those openings: a focused result, in a specific disorder, that could become the foundation for something larger if subsequent work confirms its promise.
- The therapy uses antisense oligonucleotides to block aberrant HNRNPH2 protein production.
- The researchers reported increased HNRNPH1 expression and reduced symptoms in preclinical models.
- The disorder is ultrarare, with fewer than 200 confirmed cases and no approved cure.
- The study provides mechanistic support for eventual clinical development rather than evidence of a finished treatment.
This article is based on reporting by Medical Xpress. Read the original article.
Originally published on medicalxpress.com





